欢迎您访问湖南惠益森细胞基因工程有限公司官网网站



新闻
  • 新闻
搜索

湖南惠益森细胞基因工程有限公司

新闻动态

致力于为广大用户提供新生儿干细胞及健康细胞存储服务

网站首页 >> 新闻动态 >>行业动态 >> 从科研到临床 脐带间充质干细胞风头正劲
详细内容

从科研到临床 脐带间充质干细胞风头正劲

近日,重庆医科大学附属第二医院急救部采用创面修复中一种先进的“干细胞治疗术”救治了一名年近七旬患有糖尿病足的老人,这是继南京鼓楼医院生殖医学中心采用脐带间充质干细胞为一位33岁的卵巢早衰女性方女士重新恢复生育能力,使其诞下一位健康男婴后,干细胞在临床上的又一次发力。

 

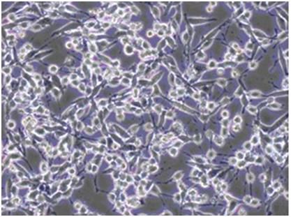
脐带间充质干细胞

67岁的刘婆婆有25年的糖尿病史,就在半年多以前,她的右脚大拇指关节处出现了溃疡,也就是医学上所说的糖尿病足。

糖尿病足是糖尿病患者特有的临床表现,据外国相关文献显示,糖尿病人患有糖尿病足的概率达到了15%~25%,患有糖尿病足的病人会出现从轻度的神经症状到严重的溃疡、感染、血管疾病、神经性关节病和神经病变性骨折等一系列足部问题,治疗起来非常困难。一份调查数据显示,我国三级医院中 27.3% 的截肢发生在糖尿病足患者中,在排除交通事故等引起的紧急截肢后,该比例升至 56.6%。

刘婆婆的糖尿病足经过一系列用药治疗后,一直不见好转,一个多月后,她到重庆医科大学附属第二医院就诊时,溃疡面积已接近4平方厘米,且有脓性分泌物。

 

x光显示刘婆婆溃疡附近血管半年后成功再生

为了修复这豆腐块一样大小的创面,医院医疗团队成员创新性的采用“干细胞治疗术”为刘婆婆展开治疗。其原理是利用干细胞的分化潜能和归巢效应,在缺损部位分化出新的上皮,以促进伤口愈合。

“这种治疗技术的优势在于,它既能促进伤口愈合,还能从根本上改善糖尿病患者的血管和神经病变,减少糖尿病足、溃疡及其他创面的发生率”,据医院专家介绍,“目前我们科室进行干细胞治疗时选用的干细胞主要分为两种,一种是从病人自血液中分离出的干细胞,一种是间充质干细胞,后者的术后效果通常更佳。

 


经过急救部专家针对刘婆婆溃疡创面采取的一系列包括清创、干细胞治疗术等治疗,刘婆婆大拇指关节处的创面在28天后得到了很好的愈合,半年后随访拍片发现,右脚溃疡附近原本已经消失的血管又重新显露出来,在这半年中,原来的创面也没有再复发。

近年来,间充质干细胞在临床应用中的广阔前景日益凸显。新生儿的脐带组织作为间充质干细胞的理想来源,具有取材方便,无道德伦理争议,可获取的细胞数量多、增殖能力强、免疫调节作用大等优势,极其适合用于临床研究和应用。

 

2017年,中山大学附属第三医院为瘫痪14年的64岁患者陈双喜进行了脐带间充质干细胞蛛网膜下腔治疗,使他奇迹般地站了起来,并在支具辅助下迈开脚步。同年,中国工程院院士,我国著名的创伤和组织修复与再生医学专家付小兵教授也利用脐带间充质干细胞成功治愈了一位70岁老人右下肢静脉溃疡引起的慢性创面。

目前,通过国家卫计委官方备案的干细胞临床研究项目共计13个,其中6个项目与脐带间充质干细胞有关,分别用于治疗狼疮性肾炎、小儿脑性瘫痪、外伤性脊髓损伤、脊髓小脑性共济失调、心力衰竭等疾病,这些项目已在2017年启动,相信未来几年我国会迎来一系列脐带间充质干细胞的科研成果,将会有更多的患者因此受益。


 



相关文章推荐
更多
  • 新生儿干细胞存储库公共好还是自存好

    新生儿干细胞存储库公共好还是自存好

    对于一个家庭而言,最幸福的事情莫过于孩子能够健康幸福的成长起来,而新生儿干细胞可以用来治疗多种疾病,在很多家庭中都在考虑哪种是否自存起来?那么新生儿干细胞存储库

    2020-03-13 0 0 0 0
  • 试析干细胞储存的作用和意义

    试析干细胞储存的作用和意义

    很多人储存干细胞,那大家知道干细胞储存​的作用和意义吗?本文小编围绕这点与大家分享。

    2019-11-13 0 0 0 0
  • 浅谈干细胞储存的意义

    浅谈干细胞储存的意义

    近几年来,相信干细胞储存​大家都有听说,尤其是这两年当父母或者现在即将当父母的,应该或多或少有了解,其中还有很多家长有做干细胞储存,不过仍有很多人不

    2019-11-05 0 0 0 0
  • 干细胞的基本知识介绍

    干细胞的基本知识介绍

    随着现在医疗技术的发展,关于干细胞的医学价值在不断被发现,也让越来越多的孕妈妈们开始选择干细胞储存,那么大家知道干细胞究竟是指什么的细胞,有啥用了,具体和小编一

    2019-08-05 0 0 0 0
  • 干细胞有哪些分类?有什么作用? - 惠益

    干细胞有哪些分类?有什么作用? - 惠益

    干细胞是一类具有自我复制和分化能力的多潜能细胞。在一定条件下,它可以分化成多种功能细胞,那么干细胞可以分为哪几类?干细胞的作用是什么?下面一起来看看吧!

    2019-07-15 0 0 0 0

关于惠益森

公司介绍
组织结构
荣誉资质

联系我们



服务项目

联系我们

地址:长沙市岳麓区高新开发区文轩路麓谷企业广场E4栋

手机:0731-85794066


Copyright @ www.hyscell.com  ALL Rights Reseved. 湖南惠益森细胞基因工程有限公司 

惠益森微信公众号

友情链接:

seo seo